胃鏡縫胃手術,是一種常見的減重方式,不過台中這一位雙寶媽先天臟器逆位,心肝脾肺腎及胃腸道等,都和正常人器官左右相反,讓醫師如臨大敵,操作口內視鏡時,得不斷改變縫合的位置和轉向,讓手術時間增加了近一倍,所幸最後成功完成,也是全球第二個成功案例。
指著簡報,說明手術的困難度,這位雙寶媽要透過胃鏡縫胃手術來減重,不過天生的臟器逆位,心肝脾肺腎及胃腸道等,都和正常人器官左右相反,讓這手術困難度提高不少。

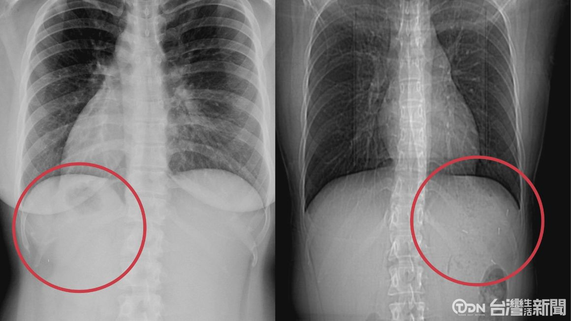
▲雙寶媽天生的臟器逆位,心肝脾肺腎及胃腸道等,都和正常人器官左右相反/記者 李晉仰攝
醫師表示,這位雙寶媽因產後肥胖與代謝異常,多種減重方式無效後,才決定用胃鏡縫胃手術,透過口內視鏡及特殊縫合技術,縮小胃部容量70%-80%,並延長飽足感,醫師指出先天的臟器逆位要完成手術,得先不斷在腦中模擬演練,空間重構,調整既定方位及流程,才能讓手術順利進行。

▲臟器逆位挑戰胃縮手術成為全球第二例/記者 李晉仰攝
手術成功後,雙寶媽半年內也順利減重22公斤,這項突破,也成為全球第二例,讓台灣高階內視鏡減重技術再度獲得國際矚目。